“ Mother of two gets a new lease of life after a part of her damaged skull is replaced ”

It was a usual trip for her on that fateful day when Mrs. Jaya, mother of 2 daughters and the sole breadwinner of her family, was returning home after delivering milk to her customers. She suffered severe head injury after a van collided with her moped and was admitted to the ICU. After her recovery, the traumatic experience forced her to be confined to her home because a large part of her forehead skull was missing and could not be recovered. Thanks to the ExaFITT line of patient specific cranial implant developed by MediCAD, she has now regained her confidence and is back to her routine tending to her farm and cattle.

DEFECT FROM HEAD INJURY

IMPLANT FABRICATED USING 3D PRINTING TECHNOLOGY

POST-SURGERY SCAN IMAGE AFTER 24 MONTHS SHOWING PERFECT IMPLANT FIT

” Medicad Implants saves life of a barber affected by extreme cranial flap infection “

Mr. Murthy had previously received a cranial implant after a traumatic head injury from road accident. In a short span, severe infection occurred at the implant site and his life was in danger. Medicad Implants came to his rescue and was able to deliver implants for Mr. Murthy within a record breaking 4 days to meet the deadline set for a critical surgery to save him.

DESIGNED IMPLANT

IMPLANT FABRICATED WITH PMMA

“Medicad Implants becomes the first indian company to design and manufacture porous cranial implants.”

By way of helping Mrs. Kamala regain her confidence and live a worry-free life, Medicad Implants LLP became the first company in India to design and manufacture porous titanium implant India. Her life took a U turn when she suffered a stroke and had to loose a large part of her skull during the surgery. She found it difficult to sleep on one side and even to meet her family members was a nightmare. Titanium implant India were suggest for the best possible outcome from cranioplasty.

DEFECT DUE TO STROKE

DESIGNED IMPLANT

IMPLANT FABRICATED WITH POROUS TITANIUM

” Intracerebral Hemorrhage patient gets a new lease of life with ExaFITT PMMA implant “

Mr. Deep, a high school student was traumatized due to deformity in his head as a result of Intracerebral Hemorrhage (ICH). He had to loose a sizable chunk of his skull due to the condition and had to remain highly cautious to protect the exposed part. Medicad was able to deliver the precision fit ExaFITT PMMA implant within industry best of 4 days time.

DEFECT FROM HEAD INJURY

DESIGNED IMPLANT

IMPLANT FABRICATED WITH PMMA

Shankar was rushed to hospital in an unconscious state and was diagnosed with stroke and consequently paralysis in his right hand. After decompressive craniotomy, he suffered from subsequent CSF accumulation and infection as a consequence of which, his bone flap had to be replaced. Medicad Implants developed an anatomically precise cranial flap replacement for Satish with 3D printed Titanium. Post the implant placement Satish has recovered well and regaining control of his motor functions.

DEFECT

TITANIUM IMPLANT

MR. Jatin had to loose large parts of his cranium due to severe Cranial Osteomyelitis. After successful treatment to control the infection, Medicad was approached to develop customized cranial plates for this complicated condition. Medicad team decided to go for a multi-material plate development approach to keep the cost down while maintaining aesthetics and to prevent infection relapse. PMMA with antibiotic was used as the material of choice to cover highly infected area while thin plate Titanium was used for the frontal and parietal regions so as to adjust for modification to defect edges during Cranioplasty.

DEFECT

DESIGNED IMPLANT

MANUFACTURED IMPLANT

A female baby aged 15 months unfortunately lost a part of the mandible due to road accident. Medicad’s unique capabilities were employed in developing a mandibular augmentation for restoring the defect in this pediatric patient.

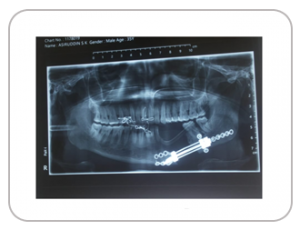
A 35 year old male had a visible defect in the left side of his mandible. Medicad Implants developed and manufactured a customized distractor to aid in Transport Distraction procedure on the patient. The segmented mandible was successfully distracted over a length of 30mm with a satisfactory outcome.

DISTRACTOR DESIGN

X-RAY IMAGE SHOWING DISTRACTOR POST IMPLANTATION